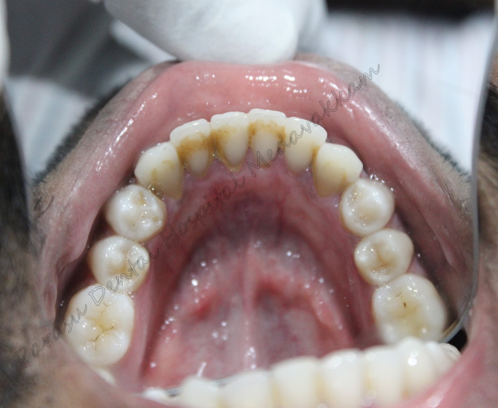
Patient came with the complaint of deposits in his teeth and also bad breath
click here for appointment
click here for website
PARASU DENTAL HOSPITAL AND IMPLANT CENTRE
Address:-
NO 39 ALAGIRI STREET,
VELACHERY- TAMBARAM MAIN ROAD,
SANTHOSAPURAM ,CHENNAI -79
CONTACT : +91 7299004333, + 91 9710442527.
E-MAIL ID :parasudentalimplantcenter@gmail.com
Branches: Adyar,Royapettah

No comments:
Post a Comment